|
                                                                                                 
Pityriasis Rosea
The term pityriasis rosea (PR) was first used by Gibert in 1860 and means pink (rosea) scales (pityriasis). PR is a common acute, self-limited skin eruption that typically begins as a single thin oval scaly plaque on the trunk (“herald patch”) and is typically asymptomatic. The initial lesion is followed several days to weeks later by the appearance of numerous similar-appearing smaller lesions located along the lines of cleavage of the trunk (a so-called Christmas tree pattern). PR most commonly occurs in teenagers and young adults, and is most likely a viral exanthem associated with reactivation of human herpesvirus 7 (HHV-7) and sometimes HHV-6. Possible treatment may focus on associated pruritus. One study suggests that administration of high-dose acyclovir for 1 week hastens recovery from PR.
EPIDEMIOLOGY
PR is reported in all races throughout the world, irrespective of climate.The average annual incidence at one center was reported to be 0.16 percent (158.9 cases per 100,000 person-years). Although PR is usually considered to be more common in the spring and fall months in temperate zones, seasonal variation has not been borne out in studies performed in other parts of the world. Clustering of cases can occur and has been used to support an infectious etiology for PR, although this is not a consistent feature observed in all communities.7 Most studies have shown a slight female preponderance of approximately 1.5:1. PR most commonly occurs between the ages of 10 and 35 years.8 It is rare in both the very young (defined as less than 2 years) and the elderly (defined as older than 65 years). Recurrences of PR are rare, which suggests lasting immunity after an initial episode of PR.
ETIOLOGY AND PATHOGENESIS
Historically, PR has been considered to be caused by an infectious agent, given (1) the resemblance of the rash to known viral exanthems, (2) rare recurrences of PR that suggest lifelong immunity after one episode, (3) occurrence of seasonal variation in some studies, (4) clustering in some communities, and (5) the appearance of flu-like symptoms in a subset of patients. Numerous studies over the past 50 years have explored various pathogens as possible causes of PR. These pathogens have included numerous bacteria, fungi, and, most notably, viruses. Beginning with a study by Drago and colleagues in 1997,2 most recent PR etiologic and pathogenetic studies have been focused on two ubiquitous HHVs, HHV-7 and HHV-6. Critical evaluation of the medical and scientific literature on PR reveals neither credible nor reproducible evidence that PR is associated with any pathogen other than HHV-7 and HHV-6.
The best scientific evidence suggesting that PR is a viral exanthem associated with reactivation of either HHV-7 or HHV-6 (and sometimes with both viruses) is strong. In fact, the most definitive and compelling study on herpesviruses and PR was by Broccolo and colleagues in 2005. Using sensitive and quantitative techniques, investigators have collectively shown that (1) HHV-7 DNA, and less commonly HHV-6 DNA, can be readily detected in cell-free plasma or serum samples from many patients with PR but not in serum or plasma from healthy individuals or patients with other inflammatory skin diseases; (2) HHV-7 messenger RNA and protein, and less commonly HHV-6 messenger RNA and protein, can be detected in scattered leukocytes found in perivascular and perifollicular regions within PR lesions but not in normal skin or skin from patients with other inflammatory skin diseases; (3) HHV-7- and HHV-6-specific immunoglobulin M antibody elevations in the absence of virus-specific immunoglobulin G antibodies do not occur in PR patients, whereas in primary viral infections elevation of immunoglobulin M antibodies alone is typical; and (4) HHV-7 and HHV-6 DNA are present in saliva of individuals with PR, which is not observed in those with a primary infection with these viruses. Taken together, these data strongly suggest that PR is a viral exanthem associated with systemic reactivation of HHV-7 and, to a lesser extent, HHV-6. Patients are viremic, which may explain associated flu-like symptoms in some patients, and they generally do not have infected epithelial cells or large viral loads within skin lesions, which explains the difficulty in detecting these viruses by electron microscopy and by non-nested polymerase chain reaction testing.
Despite these findings, there is still controversy over the role of HHV-7 and HHV-6 in the etiology of PR, because a number of studies with “negative” results have failed to support a causative role for HHV-7 and HHV-6 in this disease. Whereas the studies with positive results have used the most sensitive, specific, and calibrated techniques for virologic studies and reports have been published in high-quality journals, the studies with negative results either used laboratory methods that were not particularly sensitive, calibrated, or quantifiable, or focused on peripheral blood mononuclear cells rather than cell-free plasma or serum.
Correct interpretation of the recent viral literature on PR also requires proper understanding of the biology of HHV-7 and HHV-6. HHV-7 and HHV-6 are closely related β-herpesviruses, and the clinical diseases and biology associated with this group of herpesviruses are not as well studied as those of the α-herpesviruses (herpes simplex virus 1 and 2, varicella-zoster virus) and the γ-herpesviruses (Epstein-Barr virus and Kaposi sarcoma-associated herpesvirus). HHV-6 and HHV-7 are ubiquitous, with 90 percent of the U.S. population infected with HHV-6 by the age of 3 years and 90 percent of the U.S. population infected with HHV-7 by the age of 5 years.16 Unlike the α-herpesviruses, HHV-7 and HHV-6 do not infect keratinocytes but instead infect CD4+ T cells within blood and are retained within these cells in a latent form in most individuals. These cells are the likely source of cell-free viral DNA found in plasma or serum samples of patients with PR. They are also the likely source of the scattered perivascular and perifollicular virus-positive cells observed within some lesions of PR.
It is important to note that the concept that PR represents a reactive viral exanthem containing few infected cells within skin lesions and viral reactivation within circulating blood CD4+ T cells is perfectly analogous to that of the disease roseola, which is well accepted to be caused by primary infection with either HHV-6 or HHV-7 . In roseola, children are viremic and skin lesions generally do not contain infected cells. Complete understanding of the role of HHV-7 and HHV-6 in the pathogenesis of PR is lacking at this time. For example, the mechanisms by which HHV-7 and HHV-6 are reactivated are unknown. As well, the characteristic distribution of lesions and differences in lesional and non-lesional skin are unexplained.
CLINICAL FINDINGS
History
In classic PR, patients usually describe the onset of a single truncal skin lesion followed several days to weeks later by the onset of numerous smaller lesions on the trunk. Pruritus is severe in 25 percent of patients with uncomplicated PR, slight to moderate in 50 percent, and absent in 25 percent. In a minority of patients, flu-like symptoms have been reported, including general malaise, headache, nausea, loss of appetite, fever, and arthralgias.
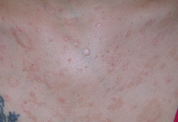
Cutaneous Lesions
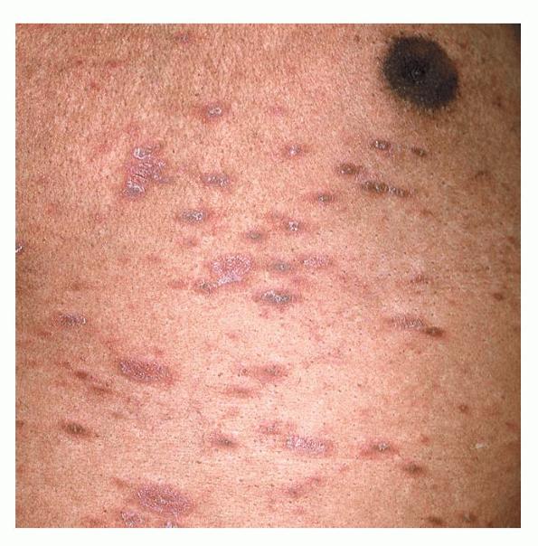
The primary plaque of PR, or herald patch , is seen in 50 percent to 90 percent of cases. It is normally well demarcated; 2 to 4 cm in diameter; oval or round; salmon colored, erythematous, or hyperpigmented (especially in individuals with darker skin); and demonstrates a fine collarette of scale just inside the periphery of the plaque. When the plaque is irritated, it may have an eczematous papulovesicular appearance . The primary plaque is usually located on the trunk in areas covered by clothes, but sometimes it is on the neck or proximal extremities. Localization on the face or penis is rare. The site of the primary lesion does not differ in males and females. months, but the secondary eruption typically occurs within 2 weeks of the appearance of the primary plaque. At times, the primary and secondary lesions may appear at the same time. The secondary eruption occurs in crops at intervals of a few days and reaches its maximum in approximately 10 days. Occasionally, new lesions continue to develop for several weeks. The symmetric eruption is localized mainly to the trunk and adjacent regions of the neck and proximal extremities . The most pronounced lesions extend over the abdomen and anterior surface of the chest as well as over the back . Lesions distal to the elbows and knees can occur but are less common. Two main types of secondary lesions occur: (1) small plaques resembling the primary plaque in miniature aligned with their long axes along lines of cleavage and distributed in a Christmas tree pattern, and (2) small, red, usually non-scaly papules that gradually increase in number and spread peripherally. Both types of lesions may exist concomitantly.
In approximately 20 percent of patients, the clinical picture diverges from the classic one described earlier. The primary plaque may be missing or present as double or multiple lesions , often close together. The primary plaque may be the sole manifestation of the disease or only one of two lesions . The distribution of the secondary eruption may be exclusively peripheral. Facial involvement has been reported and occurs mainly in children. Localized forms of disease may involve certain body regions such as the scalp, axillae, vulva, and groin (see eFigs. 41-3.3 and 41-6.1 in on-line edition) and also may be localized to one side of the body.
The morphology of the secondary lesions may be atypical, and in these cases, the diagnosis of PR can be more challenging. Macules may occur and lack scaling, papules may be follicular, and typical plaques may be absent or resemble psoriasis . The palms and soles are involved at times, and the clinical picture in these patients may simulate a widespread eczematous eruption. A vesicular type of PR (see eFig. 41-3.3 in on-line edition) is uncommon and usually affects children and young adults. Urticarial, pustular, purpuric , and erythema multiforme-like variants of PR also exist. These atypical forms of PR are not uniformly difficult to diagnose, because many patients will have classic plaques admixed with various atypical lesions, such as vesicles, follicular papules, and purpura.Related Physical Findings
In rare cases enanthema may occur with hemorrhagic macules and patches, bullae on the tongue and cheeks, or lesions that resemble aphthous ulcers. Nail dystrophy after PR has also been reported. Lymphadenopathy may occur in patients with PR, especially early in the course of the disease and in association with flu-like symptoms.
LABORATORY TESTS
In cases of classic PR, most patients do not require skin biopsies because the diagnosis is straightforward on clinical grounds and the histologic findings are nonspecific. Typical histopathologic features include focal parakeratosis, a reduced or absent granular cell layer, mild acanthosis, mild spongiosis, papillary dermal edema, a perivascular and superficial dermal interstitial infiltrate of lymphocytes and histiocytes, and focal extravasation of erythrocytes . Similar histologic findings are observed in both primary and secondary plaques. The histologic picture is indistinguishable from that of superficial gyrate erythema.
In older lesions, the perivascular infiltrate is often both superficial and deep, with less spongiosis and more pronounced acanthosis. These late lesions may be difficult to distinguish from psoriasis and lichen planus.
Routine blood studies usually give normal results and are not recommended. However, leukocytosis, neutrophilia, basophilia, lymphocytosis, and slight increases in erythrocyte sedimentation rate and levels of total protein, α1- and α2-globulins, and albumin have been reported.
Secondary syphilis may present with slightly scaly lesions and can mimic papular PR with no primary plaque. Mucosal lesions and lymphadenopathy may occur in both PR and syphilis, but as with involvement of the palms and soles, these findings are much more common in the latter. Serologic tests for syphilis will differentiate the two. Tinea corporis may resemble PR, especially when PR occurs as only a primary plaque or when it is localized to the groin area. Scaling will be at the periphery of the plaques in tinea corporis as opposed to inside the periphery of plaques in PR. Mycologic investigation is often necessary to rule out dermatophyte infection. The lesions of nummular dermatitis are usually round, not oval, and pinpoint papules and vesicles are more prominent than in PR. Guttate psoriasis may cause difficulties in diagnosing PR when only a few lesions are present, when lesions follow lines of cleavage, and when the disease course is chronic. Histologic examination may be useful in these cases. Pityriasis lichenoides chronica may present with a Christmas tree pattern on the trunk, but as a rule, typical lesions will be found on the extremities.
Many drugs have been reported to cause PR-like rashes. Thus, it is always important to obtain a drug history to investigate this possibility. These include arsenic, barbiturates, bismuth, captopril, clonidine, gold, interferon-α, isotretinoin, ketotifen, labetalol, organic mercurials, methoxypromazine, metronidazole, omeprazole, D-penicillamine, salvarsan, sulfasalazine, terbinafine, and tripelene amine hydrochloride. Of note, a more recent addition to this list is imatinib,21 a drug used in the treatment of chronic myeloid leukemia. Drug-induced PR may be of the classic type, but it often shows atypical features, a protracted course, large lesions, subsequent marked hyperpigmentation, and transformation to lichenoid dermatitis.
▪ COMPLICATIONS
Patients may experience flu-like symptoms, but these are relatively mild if they occur. No serious complications occur in PR patients.
▪ PROGNOSIS AND CLINICAL COURSE
All patients with PR have complete spontaneous resolution of their disease. The disease duration normally varies between 4 and 10 weeks, with the first few weeks associated with the most new inflammatory skin lesions and the greatest likelihood of flu-like symptoms. Both post-inflammatory hypopigmentation and hyperpigmentation can follow PR. As with other skin diseases, this occurs more commonly in individuals with darker skin color, with hyperpigmentation predominating. Treatment with ultraviolet light phototherapy may also worsen post-inflammatory hyperpigmentation and should be used with caution. Otherwise, patients have no residual effects secondary to the occurrence of PR. Recurrent disease is possible, but it is rare.
TREATMENT
Because PR is self-limited, there is no need for active treatment in uncomplicated cases. Patient education and reassurance is warranted in all cases. Midpotency topical corticosteroids may be used for symptomatic relief of pruritus. Interestingly, Drago and colleagues have reported that patients given high-dose acyclovir (i.e., 800 mg five times daily for 1 week) experienced more rapid resolution of PR than patients treated with placebo for 1 week.5 Specifically, 79 percent of 42 patients had complete resolution of PR within 2 weeks of starting acyclovir therapy, whereas 4 percent of 45 patients treated with placebo experienced resolution of their disease at 2 weeks. Although patients were blinded to the type of treatment they received, the trial was limited in that the investigators were not blinded and the patients were not randomly assigned to one of the two treatment groups. Given that acyclovir and its derivatives are relatively inexpensive and well-tolerated drugs, this form of therapy should be considered in PR patients presenting early in their disease course who demonstrate associated flu-like symptoms and/or extensive skin disease. Several years ago, erythromycin was reported to be of benefit to patients with PR, but clinical experience and a more recent report showing no efficacy of azithromycin in PR have not confirmed this initial result.23 Some patients with PR may benefit from phototherapy,24 although this should be used with caution given that it can increase the risk of post-inflammatory hyperpigmentation after disease resolution .
Treatment of Pityriasis Rosea
- · For all patients: education about the disease process and reassurance
- · For patients with associated pruritus: midpotency topical corticosteroids
- · For patients early in the disease course who demonstrate associated flu-like symptoms and/or extensive skin disease: oral acyclovir 800 mg five times daily for 1 week (or equivalent acyclovir derivative) may hasten recovery from disease
- · For selected patients: phototherapy may be useful
▪ PREVENTION
There are no data on how PR can be prevented.


|