atlas of dermatology |
atlas of histopathology |
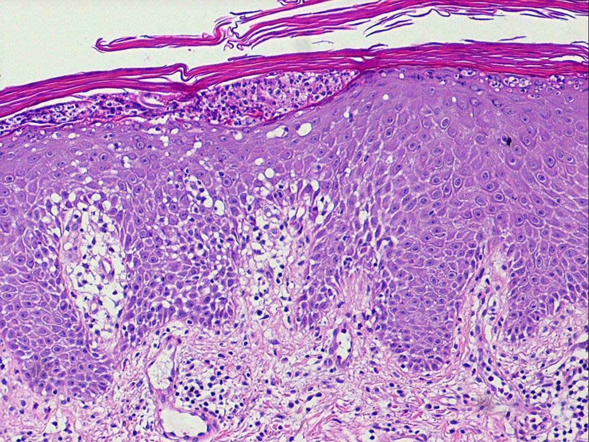
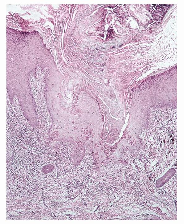
What is the following diagnosis?![]() Correct diagnosis Refresh |
الترجمة الفورية للصفحة |


