We have 23 guests online
Content View Hits
: 15232514
mainmenu
site map
home
atlas of dermatology
atlas of skin histopathology
Quick Quiz
Contact Us
Registration
flag counter
Login
Username
Password
Remember Me
Forgot your password?
Forgot your username?
Create an account
Search
Related topics
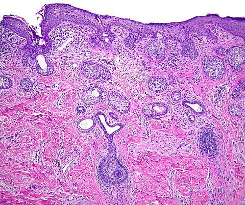
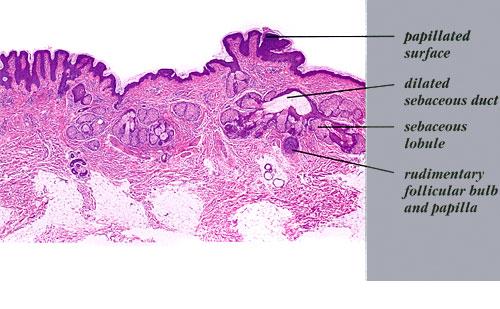
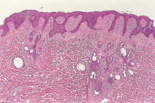
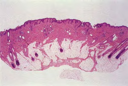
Nevus Sebaceous of Jadassohn = الوحمة الدهنية لجاداسون
atlas of dermatology
atlas of histopathology
Nevus sebaceous of Jadassohn = الوحمة الدهنية لجاداسون
الترجمة الفورية للصفحة