We have 122 guests online
Content View Hits
: 15264787
mainmenu
site map
home
atlas of dermatology
atlas of skin histopathology
Quick Quiz
Contact Us
Registration
flag counter
Login
Username
Password
Remember Me
Forgot your password?
Forgot your username?
Create an account
Search
Related topics
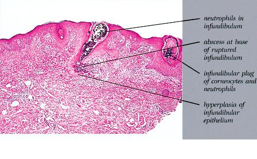
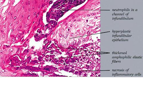
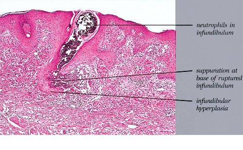
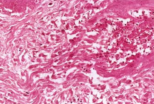
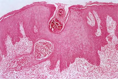
Elastosis perforans serpiginosa = المران الثاقب الزاحف
atlas of dermatology
atlas of histopathology
Elastosis perforans serpiginosa = المران الثاقب الزاحف
الترجمة الفورية للصفحة