|

Branchial Cyst
(Branchial Cleft
Cyst)
Sequestration of first or second branchial cleft membranes results in these cysts, sinuses, or tags.
EPIDEMIOLOGY
Branchial cleft cysts are largely sporadic, but autosomal dominant cases have been reported. There is no gender predominance. Ten percent of lesions are bilateral.
ETIOLOGY AND PATHOGENESIS
These cysts result from the occlusion of branchial cleft sinuses.
CLINICAL FEATURES
These asymptomatic lesions are located along the angle of the mandible if arising from the first branchial cleft and the middle to lower third of the anterior border of the sternocleidomastoid in cases arising from the second branchial cleft. They may present after an upper respiratory infection as a painful mass. These lesions tend to drain internally, but communication with the epidermis can occur. Branchial cysts may become complicated by infection.
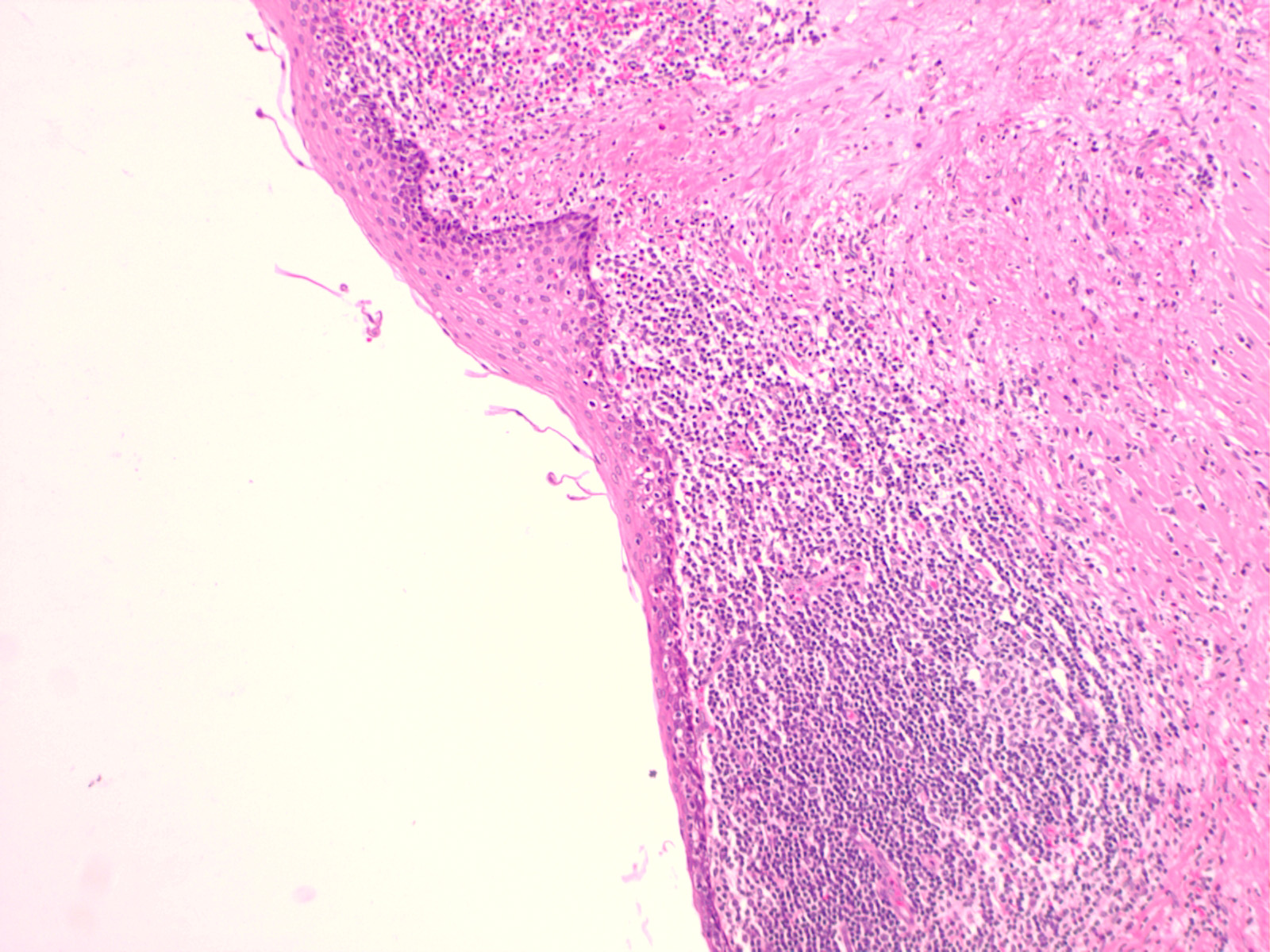
PATHOLOGY
Branchial cleft cysts are lined with epithelium containing lymphoid follicles, mucous glands, or smooth muscle. A dense lymphocytic infiltrate may also be seen. The cyst contents contain mucin.
TREATMENT
Excision is the treatment of choice. Infected cysts may require incision and drainage or antibiotic therapy.
Preauricular Cyst and Sinus (Congenital Auricular Fistula, Ear Pits)
Preauricular cysts or sinuses are epithelial invaginations located in the preauricular area.
|