We have 66 guests online
Content View Hits
: 15245974
mainmenu
site map
home
atlas of dermatology
atlas of skin histopathology
Quick Quiz
Contact Us
Registration
flag counter
Login
Username
Password
Remember Me
Forgot your password?
Forgot your username?
Create an account
Search
Related topics
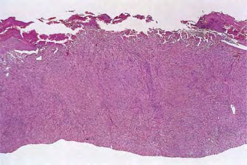
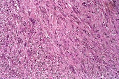
Atypical fibroxanthoma =صفروم ليفي غير نموذجي
atlas of dermatology
atlas of histopathology
Atypical fibroxanthoma=صفروم ليفي غير نموذجي
الترجمة الفورية للصفحة