We have 60 guests online
Content View Hits
: 15277204
mainmenu
site map
home
atlas of dermatology
atlas of skin histopathology
Quick Quiz
Contact Us
Registration
flag counter
Login
Username
Password
Remember Me
Forgot your password?
Forgot your username?
Create an account
Search
Related topics
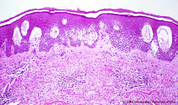
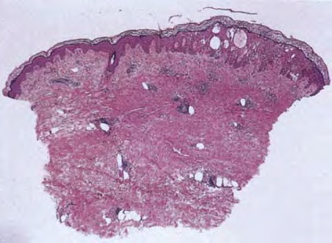
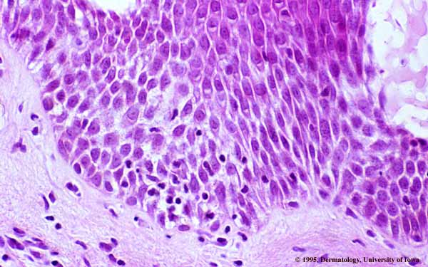
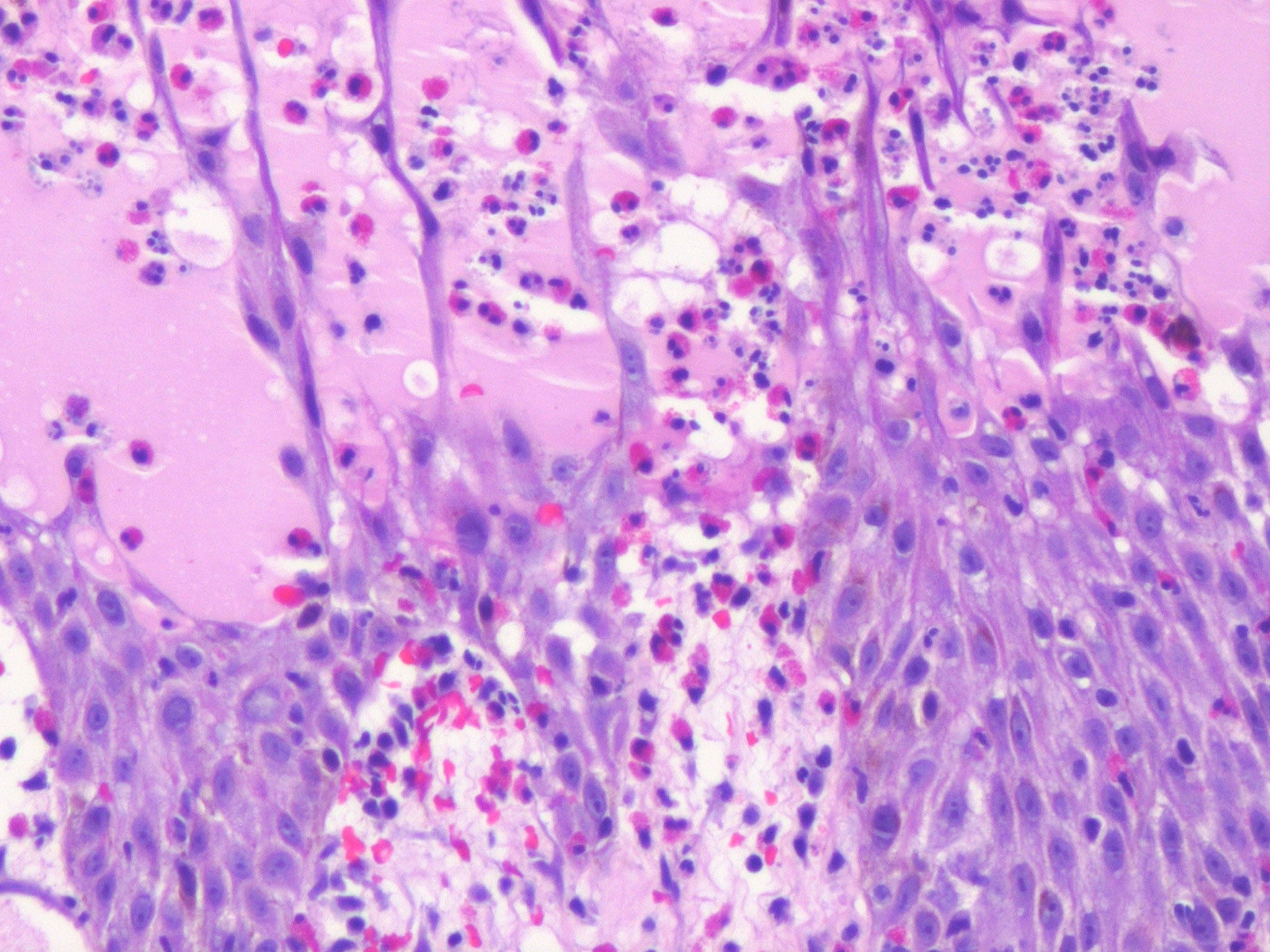
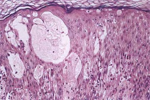
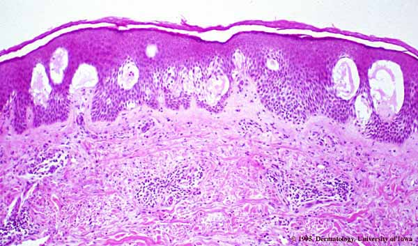
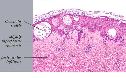
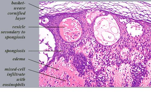
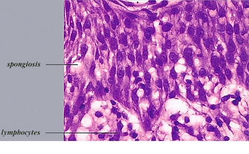
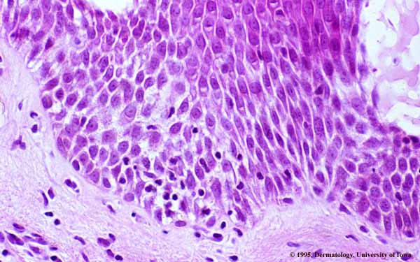
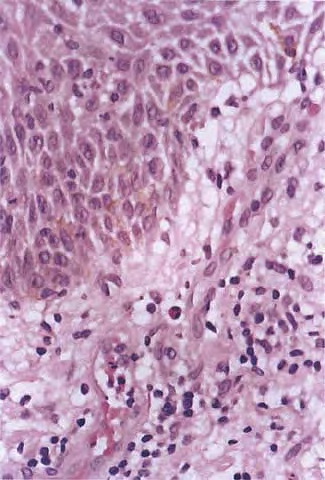
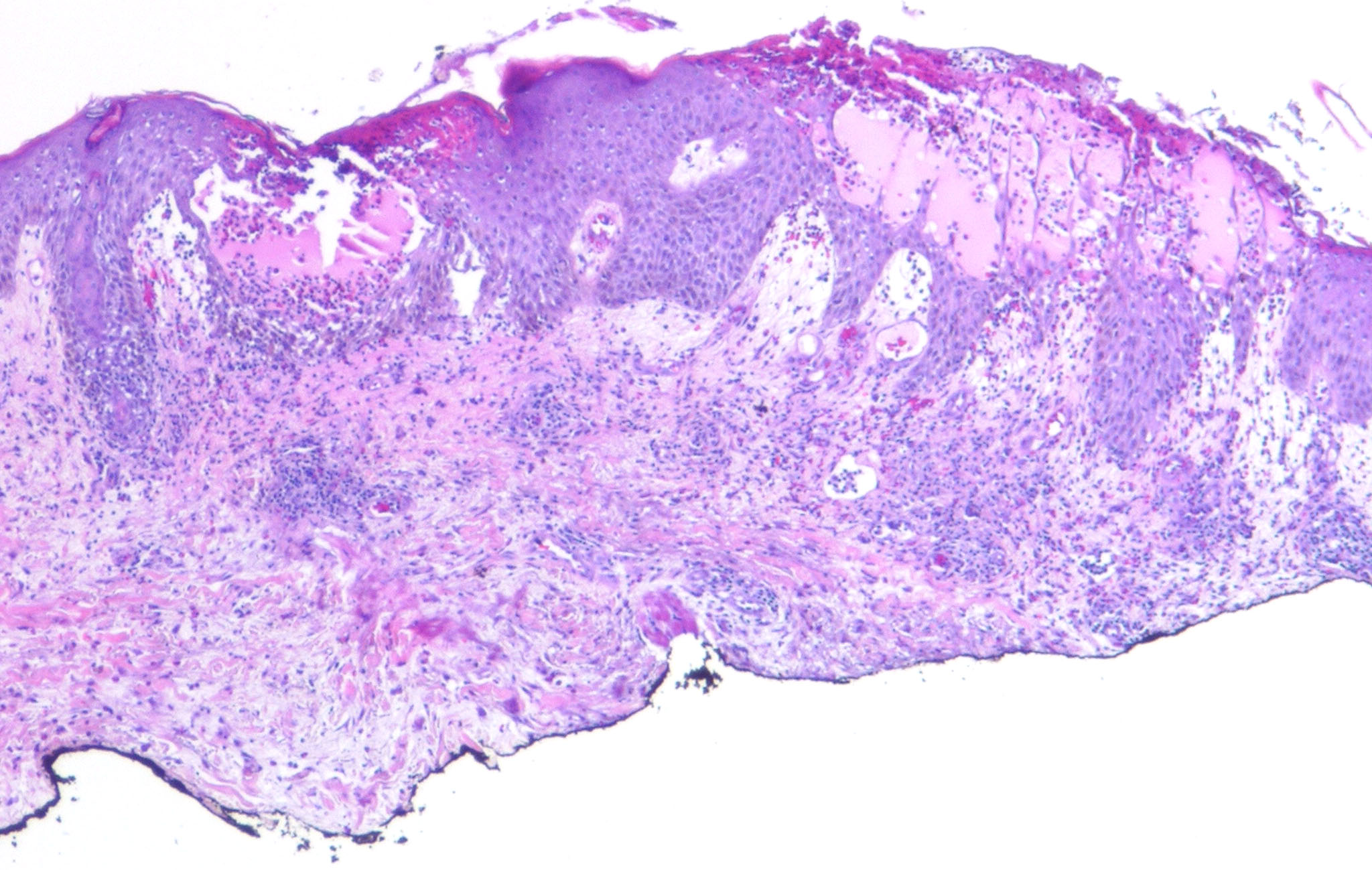
Acute contact dermatitis= التهاب الجلدالحاد بالتماس
atlas of dermatology
atlas of histopathology
Acute contact dermatitis = التهاب ا لجلدالحاد بالتماس
الترجمة الفورية للصفحة