|
                                             
Epidermolysis bullosa
Epidermolysis bullosa (EB) is a group of inherited bullous disorders characterized by blister formation in response to mechanical trauma. Historically, epidermolysis bullosa subtypes have been classified according to skin morphology.1,2
Recent discoveries of the molecular basis of epidermolysis bullosa have resulted in the development of new diagnostic tools, including prenatal and preimplantation testing. Based on a better understanding of the basement membrane zone (BMZ) and the genes responsible for its components, new treatments (eg, gene or protein therapy) may provide solutions to the skin fragility found in patients with epidermolysis bullosa.
Related eMedicine articles include Epidermolysis Bullosa Acquisita and Epidermolysis Bullosa (pediatrics version).
Pathophysiology
Epidermolysis bullosa is classified into 3 major categories, including (1) epidermolysis bullosa simplex (intraepidermal skin separation), (2) junctional epidermolysis bullosa (skin separation in lamina lucida or central BMZ), and (3) dystrophic epidermolysis bullosa
Researchers have proposed a new category termed hemidesmosomal epidermolysis bullosa, which produces blistering at the hemidesmosomal level in the most superior aspect of the BMZ. Epidermolysis bullosa simplex usually is associated with little or no extracutaneous involvement, while the more severe hemidesmosomal, junctional, and dystrophic forms of epidermolysis bullosa may produce significant multiorgan system involvement.3,4
Significant progress has been achieved in finding specific molecular therapies for epidermolysis bullosa, including protein and gene therapy. Type VII collagen and laminin-5 gene therapy have been proven effective through in vivo models. Type VII collagen protein therapy has similarly been shown to be effective in an in vivo model. Currently, these therapies are being extensively studied at the preclinical stage, in animal models.
History
Important general points include age of onset; size, frequency, and location of blisters; possible inciting factors; prior diagnostic attempts; prior therapies; and extent of pain or pruritus.
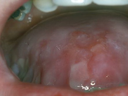
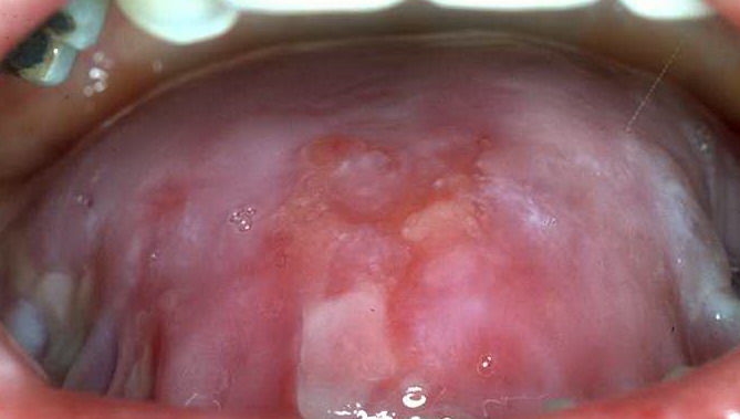
Review of systems information that can be associated with different epidermolysis bullosa subtypes includes alteration of growth or development and evidence of mucosal involvement, including oral, nasopharyngeal, ocular, genitourinary, GI, or respiratory symptoms. A family history of blistering disease is an important finding to identify
Physical
Perform a complete physical examination with an emphasis on inspection of all skin, as well as conjunctival, oral, and genital mucosae. Evaluate the size, location, and character of blisters. Attempt to assess the general level at which lesions split. Usually, superficial blisters manifest as crusted erosions, intraepidermal blisters are flaccid and may expand under pressure, and intralamina lucida blisters are tense and heal with atrophy but no scarring. Sublamina densa blisters heal with scarring and milia formation. Assess for involvement of nails, hair, or teeth.
Epidermolysis bullosa simplex
Epidermolysis bullosa simplex is a collection of keratin disorders characterized by intraepidermal blistering with relatively mild internal involvement. Lesions typically heal without scarring. Most commonly, these diseases are dominantly inherited, but recessively inherited cases have been reported. The more severe epidermolysis bullosa simplex subtypes include Koebner, Dowling-Meara, and Weber-Cockayne forms. An epidermolysis bullosa simplex variant associated with mottled pigmentation has been described in several families.
Mild epidermolysis bullosa simplex
Weber-Cockayne subtype is the most common form of epidermolysis bullosa simplex. Blisters usually are precipitated by a clearly identified traumatic event. They can be mild to severe and most frequently occur on the palms and soles. Hyperhidrosis can accompany this disorder
Severe epidermolysis bullosa simplex
Usually, a generalized onset of blisters occurs at or shortly after birth. Hands, feet, and extremities are the most common sites of involvement. Palmoplantar hyperkeratosis and erosions are common, especially in Koebner epidermolysis bullosa simplex. Dowling-Meara epidermolysis bullosa simplex involves more oral mucosa and manifests with grouped herpetiform blisters (hence the term epidermolysis bullosa simplex herpetiformis).
Hemidesmosomal epidermolysis bullosa
Hemidesmosomal epidermolysis bullosa includes 2 rare diseases. The first arises from a disorder of the protein plectin (HD1) and is associated with muscular dystrophy. The second arises from a defect of the a6b4 integrin receptor and is associated with pyloric atresia. Each disease shows intraepidermal blistering at the most basal aspect of the lower cell layer.
Epidermolysis bullosa with muscular dystrophy
This condition is characterized initially by variable blistering activity, followed by onset of muscular dystrophy later in life. The degree of blistering activity does not correlate necessarily with the degree of muscular dystrophy. Some patients can present with dental abnormalities.
Epidermolysis bullosa with pyloric atresia
This condition always is associated with pyloric atresia at birth and usually is accompanied by severe generalized blistering. In most patients, prognosis is poor despite correction of the pyloric atresia because the internal involvement is extensive. While this subtype typically is fatal during infancy, some patients with a milder case of the disease have survived into childhood.
Junctional epidermolysis bullosa Junctional epidermolysis bullosas is a collection of diseases characterized by intralamina lucida blistering. Primary subtypes include a lethal subtype termed Herlitz or junctional epidermolysis bullosa letalis, a nonlethal subtype termed junctional epidermolysis bullosa mitis, and a generalized benign type termed generalized atrophic benign epidermolysis bullosa.
Lethal junctional epidermolysis bullosa
The Herlitz or letalis form of junctional epidermolysis bullosa is characterized by generalized blistering at birth and arises from an absence or a severe defect in expression of the anchoring filament glycoprotein laminin 5. Patients with lethal forms of junctional epidermolysis bullosa show characteristic periorificial erosions around the mouth, eyes, and nares, often accompanied by significant hypertrophic granulation tissue. Multisystemic involvement of the corneal, conjunctival, tracheobronchial, oral, pharyngeal, esophageal, rectal, and genitourinary mucosae is present. Internal complications of the disease include a hoarse cry, cough, and other respiratory difficulties. Patients with Herlitz junctional epidermolysis bullosa are at increased risk for death from sepsis or other complications secondary to the profound epithelial disadhesion, and usually, they do not survive past infancy
Nonlethal junctional epidermolysis bullosa
Patients with junctional epidermolysis bullosa manifesting generalized blistering who survive infancy and clinically improve with age have junctional epidermolysis bullosa mitis. Usually, these patients do not present with the same type of hoarse cry or other significant respiratory symptoms as do patients with the Herlitz form. Instead, scalp, nail, and tooth abnormalities increasingly may become apparent. Periorificial erosions and hypertrophic granulation tissue can be present. Mucous membranes often are affected by erosions, resulting in strictures. Some patients with junctional epidermolysis bullosa mitis can present with blistering localized to the intertriginous regions.
Generalized atrophic benign epidermolysis bullosa
This is a relatively mild subtype characterized by generalized cutaneous blistering and presenting at birth. Blistering activity is worsened by increased ambient temperature, and blisters heal with a distinctive atrophic appearance. Extracutaneous involvement is rare, with the exception of teeth. Hypoplastic enamel formation results in significant tooth decay. Nail dystrophies and alopecia are other common clinical manifestations. Individuals with generalized atrophic benign epidermolysis bullosa have the potential to bear children and have a typical life expectancy.
Dystrophic epidermolysis bullosa
This is a group of diseases caused by defects of anchoring fibrils. Blisters heal followed by dystrophic scarring. Formation of milia (1- to 4-mm white papules) results as a consequence of damage to hair follicles.
Dominantly inherited dystrophic epidermolysis bullosa
The onset of disease usually is at birth or during infancy, with generalized blistering as a common presentation. With increasing age, an evolution to localized blistering is present. A common variant described by Cockayne-Touraine has an acral distribution and minimal oral or tooth involvement. Another variant described by Pasini features more extensive blistering, scarlike papules on the trunk (termed albopapuloid lesions), and involvement of the oral mucosa and teeth. Dystrophic or absent nails are common in both of these dominantly inherited dystrophic epidermolysis bullosa variants.
Recessively inherited epidermolysis bullosa
This group of diseases ranges from mild to severe in presentation.
A localized form, termed recessively inherited epidermolysis bullosa mitis, often involves acral areas and nails but shows little mucosal involvement. This subtype also demonstrates clinical manifestations similar to the dominantly inherited forms of dystrophic epidermolysis bullosa.
Severe recessively inherited epidermolysis bullosa, as described by Hallopeau-Siemens, usually shows generalized blistering at birth and subsequent extensive dystrophic scarring that is most prominent on the acral surfaces. This can produce pseudosyndactyly (mitten-hand deformity) of the hands and feet. Flexion contractures of the extremities are increasingly common with age. Nails and teeth also are affected. Involvement of internal mucosa can result in esophageal strictures and webs, urethral and anal stenosis, phimosis, and corneal scarring. Malabsorption commonly results in a mixed anemia resulting from a lack of iron absorption, and overall malnutrition may cause failure to thrive (see Diet). Patients with severe recessively inherited epidermolysis bullosa who survive to childhood are at significant risk of developing aggressive SCC in areas of chronic erosions
Ectodermal dysplasia-skin fragility syndrome is a rare disorder characterized by skin erosions, skin fragility and peeling beginning at birth or infancy that may be accompanied by alopecia, palmoplantar keratoderma, painful fissures, and nail dystrophy. Failure to thrive, cheilitis, hypohidrosis, and pruritus are other potential complications. The underlying molecular defect has been shown to be loss of function of the desmosomal protein plakophillin 1. Plakophillin is expressed mainly in suprabasilar keratinocytes and outer root sheath cells. Microscopic findings in this disease usually show intraepidermal acantholysis, located in the areas where plakophillin 1 is normally expressed. The molecular defect involves loss of function mutations in the PKP1 gene coding for plakophillin 1.7
Causes
Many stratified squamous epithelial tissues, such as the skin and oral mucosa, contain a complex BMZ. The BMZ is composed of many specialized components that combine to form anchoring complexes. At the superior aspect of the BMZ, keratin-containing intermediate filaments of the basal cell cytoskeleton insert on basal cell plasma membrane condensations termed hemidesmosomes. Anchoring filaments extend from the basal cell plasma membrane into the extracellular environment and span the lamina lucida, connecting hemidesmosomes with the lamina densa. At the most inferior aspect of the BMZ, type VII collagen-containing anchoring fibrils extend from the lamina densa into the papillary dermis, connecting the lamina densa to anchoring plaques, trapping interstitial collagen fibrils. Thus, the cutaneous BMZ connects the extensive basal cell cytoskeletal network with the abundant network of interstitial collagen fibrils in the dermis.
Keratin filaments
Keratins 5 and 14 combine to form intermediate filaments in basal keratinocytes. Keratins contain a central alpha-helical rod with several nonhelical interruptions, as well as nonhelical carboxyterminal and aminoterminal regions. The regions of highest conservation between the keratins are located on the ends of the keratin rod in the helix boundary motifs. Keratin intermediate filaments insert upon electron-dense structures termed hemidesmosomes.
Hemidesmosomes
These structures contain intracellular proteins, including plectin and BP230. Plectin (HD1) is a 500-kd protein that binds intermediate filaments. BP230, also termed BPAG1, is a 230-kd protein that has homology to both desmoplakin and plectin. BP230, like plectin, functions in the connection between hemidesmosomes and intermediate filaments. Hemidesmosomes also contain the intracellular portions of the transmembrane proteins collagen XVII (BP180) and alpha-6-beta-4 integrin. The beta-4 integrin subunit performs a central role in hemidesmosome formation and contains an especially large cytoplasmic domain, which interacts with other proteins of the hemidesmosomal plaque. Collagen XVII is a transmembrane collagenous protein that interacts with alpha-4 integrin and BP230 intracellularly and with laminin 5 extracellularly.
Anchoring filaments
These structures contain the extracellular portions of collagen XVII (BP180) and alpha-6-beta-4 integrin. In addition, anchoring filaments contain the molecules laminin 5 and laminin 6. Similar to all members of the family of laminin proteins, laminin 5 is a large heterotrimeric molecule, containing alpha-3, beta-3, and gamma-2 chains. Laminin 5 forms a disulfide-bonded attachment to laminin 6, the other known anchoring filament laminin, which contains alpha-3, beta-1, and gamma-1 chains. Laminin 5 also forms a strong association with type VII collagen, which serves to connect anchoring filaments with anchoring fibrils.
Anchoring fibrils
Type VII collagen is the primary component of anchoring fibrils. Type VII collagen contains a large N-terminal globular domain (NC-1), which interacts with laminin 5 in the lamina densa; a long collagenous domain; and a smaller C-terminal globular domain (NC-2), which is cleaved proteolytically during anchoring fibril formation. Type VII collagen chains form a triple helix; then, 2 molecules join together in an antiparallel fashion. Next, anchoring fibrils are formed by lateral associations of antiparallel dimers. Anchoring fibrils wind around the dermal interstitial collagen fibrils and reinsert back upon the lamina densa, attaching the BMZ to the underlying dermis.
Molecular pathology of epidermolysis bullosa simplex
Most cases of epidermolysis bullosa simplex are associated with mutations of the genes coding for keratins 5 and 14. The level of skin separation is at the mid basal cell associated with variable intermediate filament clumping.
Most epidermolysis bullosa simplex keratin gene mutations are inherited dominantly and interfere with keratin filament assembly. A smaller subset of patients with recessively inherited disease of varying severity exists.
Mutations coding for the most conserved regions of keratins 5 and 14 (helix boundary domains) produce the most severe forms of epidermolysis bullosa simplex. Of the severe forms, the Dowling-Meara subtype exhibits intermediate filament clumping. Conversely, milder forms of the disease, such as the Weber-Cockayne subtype, are associated with mutations at the less conserved regions of keratin 5 and keratin 14 genes.
In patients with epidermolysis bullosa simplex, the mutations that code for the amino terminus of keratin 5 are associated with mottled pigmentation. A small group of patients with recessively inherited epidermolysis bullosa simplex has been shown to have associated muscular dystrophy caused by mutations of the gene coding for HD1/plectin.
Molecular pathology of junctional epidermolysis bullosa
Junctional epidermolysis bullosa has a highly variable molecular etiology and represents a collection of different diseases. These diseases all cause blistering in the lamina lucida and variable hemidesmosomal abnormalities. Mutations in genes coding for laminin 5 subunits (alpha-3 chain, laminin beta-3 chain, laminin gamma-2 chain), collagen XVII (BP180), a6 integrin, and b4 integrin have been demonstrated.
More than one half of junctional epidermolysis bullosa cases are caused by 1 of 2 recurrent nonsense mutations in the LAMB3 gene, which is helpful for mutation analysis and prenatal testing.
Herlitz (letalis) junctional epidermolysis bullosa is characterized by null mutations of laminin-5 genes, resulting in a lack of laminin-5 expression in the tissues of patients.
Missense mutations of laminin-5 genes that result in expression of presumably dysfunctional laminin 5 can result in a milder phenotype, such as generalized atrophic benign epidermolysis bullosa. Generalized atrophic benign epidermolysis bullosa also can be caused by mutations of the gene coding for collagen XVII (BP180).
Mutations of the genes coding for beta-4 and alpha-6 integrin also have been associated with junctional epidermolysis bullosa. In this group of diseases, separation of the skin occurs at the level of the hemidesmosome region. The resultant molecular defects contribute to the clinical manifestation of pyloric atresia.
Molecular pathology of dystrophic epidermolysis bullosa
Dystrophic epidermolysis bullosa thus far has been associated in all cases with mutations of the gene coding for type VII collagen (COL7A1). Anchoring fibrils are affected in patients with dystrophic epidermolysis bullosa, and the degree of involvement ranges from subtle changes to complete absence.
In all patients, a sublamina lucida plane of blister cleavage is present. In some patients, defects of type VII collagen secretion are present.
In the recessive forms, COL7A1 mutations usually cause premature termination codons, resulting in an absence of type VII collagen in tissue. COL7A1 mutations, which do not cause premature termination codons, usually produce less severe disease. For example, mutations that produce glycine substitutions of the triple helical region can interfere with triple helical assembly of the type VII collagen molecule. These types of mutations, which exert a dominant-negative type of effect, are present in many patients with milder dominant forms of this disease.
Laboratory Studies
Obtain a skin biopsy following a thorough history and physical examination. Routine histologic analysis is useful only for excluding other causes of blistering. When epidermolysis bullosa (EB) is suspected, the best approach is to obtain 2 biopsy specimens. Analyze one specimen using electron microscopy (EM) and the other using immunofluorescent microscopy.
Evaluate anemia using CBC count with iron studies in patients with severe epidermolysis bullosa, especially recessively inherited epidermolysis bullosa.
Evaluate infection using bacterial cultures from poorly healing wounds or wounds that appear infected.
Imaging Studies
Evaluate GI dysfunction. Esophageal strictures associated with junctional epidermolysis bullosa, dystrophic epidermolysis bullosa, or the pyloric atresia associated with a rare form of junctional epidermolysis bullosa can be visualized best by an upper GI series or endoscopy.
Other Tests
Evaluate nutrition using serum albumin, height and weight curves, diet diaries, and other analyses of nutrition and growth in patients with severe epidermolysis bullosa.
Evaluate contractures by establishing the range of motion of limbs and digits to monitor contractures and effectiveness of physical therapy.
Routine light microscopy can be used only to exclude other causes of blistering and cannot be used to make the diagnosis of epidermolysis bullosa.
Procedures
Electron microscopy
Obtain a biopsy specimen from a fresh blister. The best way to obtain a fresh blister is to induce it in the office by gently rotating a pencil eraser back and forth over an area of skin until epidermal separation is appreciated. Perform the biopsy at the edge of the blister, sampling both unblistered and blistered skin. Place the specimen into the appropriate holding medium (check with the laboratory beforehand) and immediately send it for transmission EM. EM biopsy holding medium usually contains glutaraldehyde.
EM is the criterion standard for determining the level of blistering. EM can provide additional information on BMZ morphology that can be helpful in making the diagnosis. For example, intermediate filament clumping indicates Dowling-Meara epidermolysis bullosa simplex. Rudimentary hemidesmosomes often are found in junctional epidermolysis bullosa subtypes. Absent or altered anchoring fibrils often occur in dystrophic epidermolysis bullosa subtypes.
Immunofluorescent microscopy
This study can provide information on the level of the blistering. Obtain a biopsy specimen at the edge of a fresh blister for optimal results. Make arrangements with the laboratory before obtaining the specimen, and promptly send it for analysis. Zeus-holding medium is used widely for immunofluorescent microscopy.
Immunomapping with antibodies to a hemidesmosomal antigen (eg, BP230 obtained from sera of a patient with bullous pemphigus) and an antibody to a lamina densa protein (eg, type IV collagen) can distinguish epidermolysis bullosa simplex, junctional epidermolysis bullosa, and dystrophic epidermolysis bullosa. For example, in epidermolysis bullosa simplex, both antigens localize to the floor. In junctional epidermolysis bullosa, BP230 localizes to the roof of the blister, while type IV collagen localizes to the floor. In dystrophic epidermolysis bullosa, both antigens localize to the roof of the blister.
In addition to providing information about the level of the skin separation, immunofluorescent microscopy can be useful in providing an important clue regarding the underlying molecular defect. For example, the laboratory at Stanford University routinely examines biopsy specimens with a panel of antibodies against each of the antigens known to be affected in epidermolysis bullosa. Often, a specific absence of staining with a particular antibody indicates the specific molecular defect. Often, in milder disease subtypes and in dominant disease subtypes, alterations in expression of affected proteins may be too subtle to appreciate, and further tests are required
DNA mutation analysis
Perform mutation analysis after immunofluorescent microscopy. This is the final step in elucidating the underlying molecular defect, and in most cases, it reduces the number of genes to be screened. DNA is extracted from blood of the patient and family members. Initial mutation screening is performed by restriction fragment-length polymorphism analysis, hotspot analysis, and finally, direct DNA sequencing.
Prenatal diagnosis8,9,10,11
Once the mutations are identified in a family, reliable prenatal diagnosis is possible. DNA for prenatal diagnosis can be obtained as a chorionic villi sample as early as the ninth week of gestation. Alternatively, amniotic fluid drawn after the eleventh week can provide the necessary DNA. Schedule the procedure in close conjunction with the diagnostic laboratory that will receive the sample.
Those interested in genetic analysis of epidermolysis bullosa patients should contact GeneDx.
Medical Care
Skin involvement
Wound healing
This process is impaired by multiple factors including foreign bodies, bacteria, nutritional deficiencies, tissue anoxia, and aging. Exogenous agents contributing to impairment of wound healing include glucocorticoids and penicillamine. Optimizing wound healing in patients with epidermolysis bullosa (EB) involves controlling all of these factors. Patients with Herlitz junctional epidermolysis bullosa heal slowly, which may be because of a defect in laminin 5 (a protein involved intimately in keratinocyte adhesion and migration).
Infection
Extensive areas of denuded skin represent loss of the stratum corneum barrier to microbial penetration. Accumulation of serum and moisture on the surface enhances the growth of bacteria.
Patients with severe epidermolysis bullosa subtypes may have immunologic abnormalities, including decreased lymphocyte production or a poor nutritional status that lowers resistance to infections. Staphylococcus aureus and Streptococcus pyogenes are the usual causative organisms, but gram-negative infections with bacteria, such as Pseudomonas aeruginosa, also can occur. Patients also have increased susceptibility to developing sepsis.
Prevention of infection is the preferred strategy. With extensive areas of crusting and denudation, a strict wound care regimen should be followed. Such a regimen entails regular whirlpool therapy followed by application of topical antibiotics. The wound should be covered with semiocclusive nonadherent dressings. Do not apply adhesive tape directly to the skin. Self-adhering gauze or tape is a better choice for keeping dressings in place.
Tumors
SCC often arises in chronic cutaneous lesions in patients with epidermolysis bullosa. SCC often occurs at multiple primary sites, which is especially true for patients with recessively inherited epidermolysis bullosa.
In the non-epidermolysis bullosa population, cutaneous SCC arises most frequently in sun-exposed areas and primarily affects individuals with skin types I and II after the fourth decade of life.
In contrast, the distribution of cutaneous SCC in patients with recessively inherited epidermolysis bullosa is different. In recessively inherited epidermolysis bullosa, SCC affects all skin types, does not show a predilection for sun-exposed sites, and peak incidence begins to increase dramatically in the second and third decades of life. Recent studies on the pathogenesis of SCC in recessively inherited epidermolysis bullosa patients suggest that it arises from retained expression of the type VII collagen NC1 domain.12 Type VII collagen is required for Ras-driven human epidermal tumorigenesis.
Careful surveillance of nonhealing areas
GI management
The most disabling complication is esophageal lesions, which are found in Hallopeau-Siemens and inverse recessively inherited epidermolysis bullosa subtypes, Dowling-Meara, letalis epidermolysis bullosa simplex subtypes, and all junctional epidermolysis bullosa forms except localized and progressiva/neurotropica. These lesions are managed in several ways. One medical approach is to use phenytoin and oral steroid elixirs to reduce the symptoms of dysphagia. In addition, if oral candidiasis is present, an anticandidal medication is helpful.
Eye lesions13
Patients with epidermolysis bullosa simplex, particularly those with the Weber-Cockayne and Dowling-Meara subtypes, can experience recurrent blepharitis in 1 or both eyes along with bullous lesions of the conjunctivae.
Patients with junctional epidermolysis bullosa and Hallopeau-Siemens dystrophic epidermolysis bullosa can experience corneal ulcerations, corneal scarring, obliteration of tear ducts, and eyelid lesions.
Cicatricial conjunctivitis also can occur in patients with the recessively inherited epidermolysis bullosa Hallopeau-Siemens subtype.
Corneal erosions are treated supportively with application of antibiotic ointment and use of cycloplegic agents to reduce ciliary spasm and provide comfort. Avoid using tape to patch the eye because of frequent blistering of the skin under the adhesive.
Chronic blepharitis can result in cicatricial ectropion and exposure keratitis. Moisture chambers and ocular lubricants are used commonly for management. This disorder also has been treated with full-thickness skin grafting to the upper eyelid; however, complete correction is difficult to obtain.
Oral care
Good dental hygiene is essential for patients with epidermolysis bullosa, and regular visits to the dentist are recommended. If possible, a dentist familiar with epidermolysis bullosa should be consulted. Despite their best efforts, many patients with junctional epidermolysis bullosa and dystrophic epidermolysis bullosa develop dental caries because of enamel defects. In addition, significant oral mucosal involvement can accompany severe forms of junctional epidermolysis bullosa and dystrophic epidermolysis bullosa. Avoid harsh mouthwashes containing alcohol. Normal saline rinses can help gently clean the mucosal surfaces. Also see the clinical guideline summary, Guideline on management of dental patients with special health care needs, from the American Academy of Pediatric Dentistry Council on Clinical Affairs.14
Research therapies
Potential future therapies include protein and gene therapies. Model systems using these approaches show promise for significant advances in future therapies.
In protein therapy, the missing or defective protein is produced in vitro by recombinant methods and applied directly to blistered skin. Protein therapy may be most useful in epidermolysis bullosa subtypes involving a defect or deficiency in type VII collagen because this protein appears to have a long half life in the body.15,16
In gene therapy, the goal is to deliver genes targeted to restore normal protein production. Gene therapy for one patient with a nonlethal form of junctional epidermolysis bullosa has been successful at the 1-year mark. This was accomplished using a retroviral gene transfer system, using ex vivo gene transfer and grafting corrected keratinocytes back onto the patient.17
Molecular therapy18,19,20,21
Gene therapy for non-lethal junctional epidermolysis bullosa has been performed and shown to be efficacious in a small trial of one patient. In this trial, cultured patient keratinocytes received a normal copy of the LAMB3 gene through retroviral delivery, then the corrected cells were grafted back to areas of patient skin. Analysis over one year showed continued high expression of laminin 5 and a clinical absence of blistering.
Two clinical trials for treatment of recessive dystrophic epidermolysis bullosa are currently underway. In one center at the University of Minnesota, bone marrow transplantation is used as the mechanism of delivery of corrective skin cells. In this trial, recessively inherited epidermolysis bullosa patients undergo bone marrow ablation and immunosuppression. The other clinical trial, which is being performed at Stanford University, consists of retroviral mediated type VII collagen gene transfer. In this trial patient skin cells are treated with type VII collagen gene in a retrovirus, and the cells are grafted back to the patient. Both studies are currently in progress and no peer reviewed scientific data are currently available.
Surgical Care
Surgical management can include the following:
- GI management: Esophageal dilation has been helpful in relieving strictures. Removal of esophageal strictures by colonic interposition has proved effective in cases of advanced disease. Gastrostomy tube insertion has been effective in providing nutrition to individuals with esophageal strictures.
- Surgical restoration of the hand22 : Mitten deformity of the hand occurs frequently in patients with the Hallopeau-Siemens dystrophic epidermolysis bullosa subtype. Repeated episodes of blistering and scarring eventually result in fusion of the web spaces. As a result, fine manipulative skills and digital prehension are lost. Surgical procedures can correct this deformity, but a high rate of recurrence is seen with mitten pseudosyndactyly. Typically, the dominant hand has earlier recurrence. Recurrence appears to be delayed by the prolonged use of splinting in the interphalangeal spaces at night.
- Surgical excision of SCC: Invasive aggressive SCC is a particularly troubling complication of recessively inherited epidermolysis bullosa. When detected, excision of the carcinoma is indicated. Both Mohs and non-Mohs surgical approaches have been used.
- Endotracheal tube placement: Perform this procedure with extra care in patients with epidermolysis bullosa. Optimally, consult an anesthesiologist experienced in the care of patients with epidermolysis bullosa.23
- Skin equivalents: Human keratinocytes cultured atop dermal equivalents are commercially available; they have been useful in facilitating healing of erosions in persons with epidermolysis bullosa and in improving the overall quality of life of these patients.24 These are allografts, in that the cells do not derive from the patient themselves but from another unidentified donor. These allografts are eventually rejected by immunocompetent hosts such as patients with epidermolysis bullosa. However, before they are rejected, they are believed to produce cytokines that facilitate the wound healing process and stimulate reepithelialization of the patients' wounds. Skin equivalent therapy represents an effective short-term therapy for treating chronic nonhealing wounds associated with epidermolysis bullosa. Claims that allografts produce a permanent cure for epidermolysis bullosa are unsubstantiated.
Consultations
Genetic counseling
Genetic information provided by mutation analyses on epidermolysis bullosa candidate genes provides an immediate benefit to families of patients with epidermolysis bullosa. Siblings of a patient identified as a proband with recessively inherited epidermolysis bullosa that are considering children often want to know whether they carry the mutant allele.
Most importantly, prenatal diagnosis of epidermolysis bullosa in affected families currently is a genetic-based protocol, providing that the patient identified as the original proband has had mutational analysis or identification of the defective gene. Currently, fetal skin biopsies and fetoscopy, with their increased risk of pregnancy loss, can be avoided by analyzing either a chorionic villus sample as early as 8-10 weeks or amniotic fluid in the second trimester. The development of highly informative intragenic and flanking polymorphic DNA markers in epidermolysis bullosa candidate genes, together with rapid screening of genetic hotspots, make genetic screening of high-risk pregnancy a viable option. Preimplantation diagnosis has also been performed in epidermolysis bullosa cases.
Diet
Nutritional management includes the following:
- Increased needs: Extensive cutaneous injury is associated with marked alterations in both hemodynamic and metabolic responses, requiring increased caloric and protein intake for recovery. The burn patient has been studied extensively from both of these perspectives. Studies confirm that the development of nutritional deficiencies inhibits successful wound healing and the body's return to a normal hemodynamic and metabolic profile.
- Impediments to intake and absorption: Oropharyngeal and GI lesions greatly threaten the nutritional well being of patients with epidermolysis bullosa. Complications include oral blistering, abnormal esophageal motility, strictures, dysphagia, diarrhea, malabsorption, and dental problems. Nutritional assessment taking these factors into account is essential for replenishing the malnourished patient.
Activity
Inactivity as a result of pain and scarring can cause contractures to form. Physical therapy can be helpful in reducing limb and hand contractions and in maintaining the range of motion.
Medication
Epidermolysis bullosa (EB) is a genetic disease and no drugs are known to correct the underlying molecular defects. Prolonged use of steroids is contraindicated in the treatment of inherited forms of epidermolysis bullosa. Steroid-induced complications further warrant prohibiting their use. No other drugs, including phenytoin and tetracycline, have improved the blistering or epithelial disadhesion in epidermolysis bullosa significantly or consistently
Complications
Complications can include the following:
- SCC: Arising in chronic wounds or scars of recessively inherited epidermolysis bullosa, this form of SCC is invasive and has high metastatic potential. Other epidermolysis bullosa subtypes do not show a tendency to develop SCC.
- Pseudosyndactyly (mitten-hand deformity): This is a frequent complication in patients with recessively inherited epidermolysis bullosa but is rare in other subtypes. In this disorder, skin grows around the digits because of repeated blistering and dystrophic healing. Over time, the digits are encased in a mitten of skin. Therapeutic surgical approaches are available, but the rate of recurrence is high (see Surgical Care).
- Mucosal complications: Patients with recessively inherited epidermolysis bullosa often have esophageal manifestations. Esophageal scarring secondary to repeated blistering and healing results in dysphagia from webbing, strictures, or stenosis. These complications are rare in patients with epidermolysis bullosa simplex but occur in patients with Herlitz and other nonlethal forms of junctional epidermolysis bullosa and dominantly inherited dystrophic epidermolysis bullosa. No cases of esophageal involvement have been reported in the generalized benign atrophic form of junctional epidermolysis bullosa (see Surgical Care). While patients with the Herlitz form of junctional epidermolysis bullosa have the greatest tendency for tracheolaryngeal involvement, recessively inherited epidermolysis bullosa may involve the tracheolaryngeal mucosa as well.
|