We have 73 guests online
 

flag counter

free counters

Search

Related topics

atlas of dermatology

Banner
 

atlas of histopathology

Banner
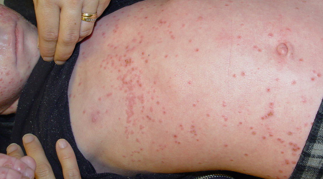
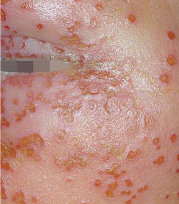
Eczema herpeticatum = الاكزيمة العقبولية

 

 

 

 

 

eczema herpeticum

Patients affected by atopic dermatitis tend to develop viral infections. Probably the most feared complication of atopic dermatitis is eczema herpeticum, a disseminated infection with herpes simplex virus. A monomorphic eruption of dome-shaped blisters, pustules and erosions in the eczematous skin lesions along with severe systemic illness leads to the diagnosis. The clinical diagnosis may be confirmed by polymerase chain reaction, viral culture, electron microscopy with negative staining, Tzanck test, immunofluorescence tests or serology. While intravenous acyclovir is still regarded as standard treatment of eczema herpeticum, several recently-developed antiviral drugs provide therapeutic options.

 
 

الترجمة الفورية للصفحة