|

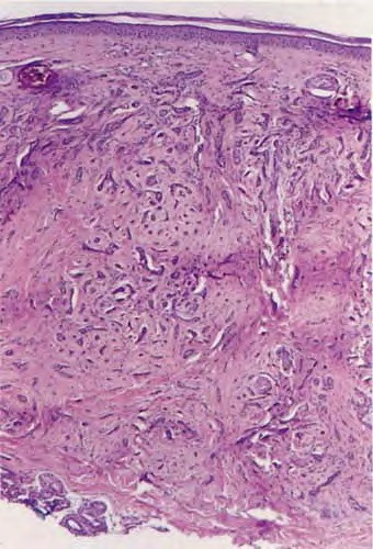
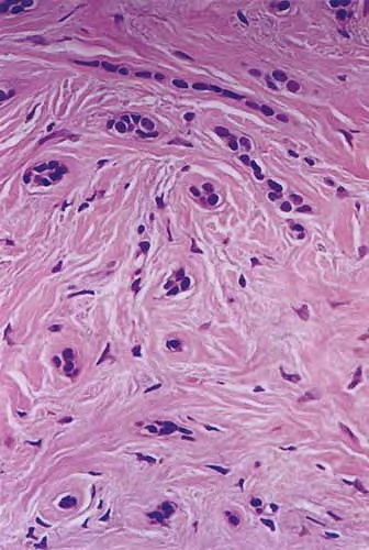
MICROCYSTIC ADNEXAL
CARCINOMA
Etiology.
MAC is also known as syringomatous carcinoma and sclerosing sweat duct carcinoma.
Epidemiology.
MAC is a rare, locally aggressive tumor with a high potential for local recurrence.
Clinical Findings.
MAC usually presents in elderly individuals as a solitary, slowly growing, firm, indurated plaque on the face, particularly around the upper lip or orbit. For unclear reasons, the tumor tends to occur on the left side of the face. Lesions may occasionally be found on extra-facial locations, including the nipple, axilla, and lower extremities.
Prognosis and Clinical Course.
Local recurrences are common (about 50 percent of cases) and may develop several years after initial diagnosis and therapy. Prolonged follow-up is therefore usually necessary.
Treatment.
Treatment of choice is surgical. A more favorable cure rate (up to 89 percent) has been achieved with Mohs micrographic surgery. Regional and distant metastases are rare
|