|
Degos' Disease - Malignant Atrophic Papulosis =الضمور الحطاطي الخبيث لديغوس |
|

|
Degas Syndrome
Degos had initially described a cutaneointestinal syndrome in which distinct skin findings ("drops of porcelain") were associated with recurrent attacks of abdominal pain that often ended in death from intestinal perforations . The skin lesions of this syndrome arise in crops of asymptomatic, slightly raised, yellowish red papules that gradually develop an atrophic porcelain-white center. These papules tend to affect the trunk and proximal extremities. Degos chose the name malignant atrophic papulosis (MAP) for these lesions to emphasize the serious clinical course of the cutaneointestinal disease he was describing. At that time, the cutaneous lesions were then thought to be specific and pathognomonic for this unique disease entity (Degos' disease). However, skin-limited forms of Degos' disease have been described , and currently such skin lesions are considered to be a clinicopathologic reaction pattern that can be associated with a number of conditions . Lesions similar if not identical to MAP have been noted in connective tissue diseases such as lupus erythematosus, dermatomyositis, and progressive systemic sclerosis, in atrophie blanche, and in Creutzfeldt-Jakob disease
|
|
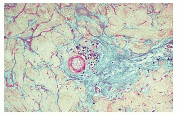
Histopathology
. The classic lesion shows a wedge-shaped area of altered dermis covered by atrophic epidermis with slight hyper-keratosis. Dermal alterations may include frank necrosis. More common, however, are edema, extensive mucin deposition, and slight sclerosis . A sparse perivascular lymphocytic
|
|
infiltrate may be seen, although the dermis is largely acellular. Typically, vascular damage is noted in the vessels at the base of the "cone of necrobiosis." Vascular alterations may be subtle and manifest as endothelial swelling or demonstrate lymphocytic vasculitis. However, more characteristically, intravascular fibrin thrombi may be noted, suggesting that the dermal and epidermal changes result from ischemia. Altered vessels may lack an inflammatory infiltrate. The histopathology observed may vary with the evolution of the lesions. Early lesions may be more mucinous and mimic tumid lupus, whereas more evolved lesions are more sclerotic and suggest lichen sclerosus et atrophicus (.
|
|
Pathogenesis.
The etiology of Degos' syndrome is unclear. The findings have been ascribed to a coagulopathy, vasculitis, or mucinosis. However, convincing evidence to support any single causal factor is lacking.
|
|